Когда делают КТ брюшной полости

КТ-скрининг брюшной полости позволяет проводить оценку структуры, величины, внутреннего содержимого желчного пузыря и его протоков, селезенки, печени, поджелудочной железы и ее путей, сосудов большого круга кровообращения, лимфоузлов, а также позвонков и нижних участков сердца и легких, которые попадают в зону интереса.  Достоверность и чувствительность данного метода в выявлении нарушений составляет порядка 90%, поэтому КТ является одним из приоритетных и востребованных способов диагностики органов живота. 

  Когда делают КТ брюшной полости

Когда делают КТ брюшной полостиДиагностика может быть назначена при боли в животе, правом подреберье и других участках брюшной полости, тошноте, рвоте, нарушении стула, изменении цвета слизистых покровов и кожи, продолжительной лихорадке, нарушении мочеиспускания и прочих симптомах, которые свидетельствуют о патологических процессах брюшины. Сканирование проводят также в качестве уточнения сведений, полученных методами рентгена, МРТ, УЗИ. 

Делают ли КТ брюшной полости при подготовке к операциям? Да, исследование востребовано при планировании консервативного и хирургического лечения, контроле проведенных химио- и лучевой терапии у онкологических больных.

  КТ брюшной полости – что показывает скрининг

Благодаря получению четких и подробных снимков компьютерная томография живота дает максимально полную информацию о морфологическом и анатомическом состоянии органов и тканей, позволяет верифицировать очаги патологии величиной в несколько миллиметров.

Что смотрят на КТ брюшной полости? Исследование показывает наличие таких патологических изменений: 

Покажет КТ живота причины так называемого «острого» живота, которыми могут являться аппендицит, холецистит, острый панкреатит, перфорация полых органов, непроходимость кишечника. 

Особое значение имеет КТ в верификации объемных образований, к которым относят кисты, полипы, опухолевые очаги. В частности, среди доброкачественных опухолей печени часто встречается гемангиома, аденома и фокальная узловая гиперплазия. На КТ-снимках гемангиома выглядит как образование круглой формы с четкими границами и низкой плотностью. Для выявления и дифференцирования этого процесса требуется контрастное усиление. Гемангиома печени на КТ с контрастом проявляет себя центропетальной последовательностью заполнения контрастным веществом своего содержимого (в направлении от периферии к центру). 

При аденоме печени КТ-изображения показывают объемное образование, часто окруженное зоной фиброза, при этом ткани образования могут содержать кровоизлияния. Внутривенное усиление контрастирует аденому в основном в артериальную фазу, при этом плотность образования негомогенно повышается.

При раке поджелудочной железы может применяться КТ-ангиография для определения опухолевой инвазии в чревный ствол, воротную вену, верхнебрыжеечную артерию, а также смежные с железой органы. 

КТ также видит инфаркты селезенки, нарушения лимфатических узлов, опухолевые поражения кишечника, желудка. 

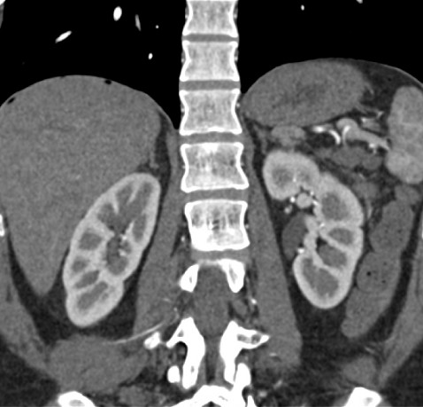
КТ органов забрюшинного пространства – что выявляет обследование

На снимках хорошо визуализируются почки, лимфоузлы, надпочечники, сосуды. Диагностика показывает дефекты строения и развития органов, абсцессы, конкременты в протоках, почках, кисты, опухолевые образования, а также патологии лимфатической системы, которые связаны с заболеваниями крови.

МСКТ легких, брюшной полости и малого таза

МСКТ легких, брюшной полости и малого тазаКомплексную диагностику КТ грудной клетки, брюшной полости и тазовых органов часто проводят из-за особенностей близкого расположения структур. Такой скрининг имеет значение при нарушении магистральных сосудов, а также при онкологических изменениях, когда в процесс могут быть вовлечены смежные отдаленные органы. Так, компьютерная томография брюшной полости и малого таза играет важную роль в диагностике вторичных опухолей при раке поджелудочной железы, легких, желудка, яичников, предстательной железы, оценке распространенности нарушения на костные структуры позвоночника и лимфатическую систему.

Начиная разговор с оператором вы принимаете и соглашаетесь с условиями   Политики конфиденциальности   Публичной оферты