Пневмония на КТ. Какие еще патологии выявляет компьютерная томография?

Компьютерная томография представляет собой высокоинформативный метод диагностики, который основан на прохождении рентгеновских лучей через ткани организма и последующей регистрацией величины их ослабления. За счет получения тонких послойных снимков изучаемой области и возможности их преобразования в пространственную картину КТ позволяет диагностировать последствия травм, добро- и злокачественные процессы, воспаления, нарушения сосудов и пр.

  Что выявляет компьютерная томография

КТ позволяет послойно изучить состояние костных структур, полых органов, мягких тканей, сосудов и позволяет диагностировать дефекты строения и развития, посттравматические изменения, кисты, онкологические процессы, в том числе их рецидивы, дегенеративно-дистрофические изменения и пр.

КТ часто применяется в экстренных случаях, например, для диагностики инсульта, внутренних кровотечений, заболеваний сердца. Метод может быть использован для исследований пациентов с имплантированными кардиостимуляторами либо ферромагнитными имплантами. КТ успешно проводится как первичный и уточняющий вид диагностики после УЗИ, ЭКГ, рентгенографии, МРТ и прочих, и может быть применена для контроля при проведении биопсии тканей и других манипуляций.

Исследование головы

КТ успешно применяется для выявления внутричерепного кровотечения, при сотрясении и более тяжелых черепно-мозговых травмах (при этом именно КТ предпочтительнее в первые 72 часа после ЧМТ), для диагностики патологий пазух носа, височных костей (например, для выявления отита), костей черепа, сосудистых патологий.  Исследуя околоносовые пазухи, можно увидеть гайморит, синусит, другие воспалительные процессы.

Помимо перечисленных нарушений КТ головного мозга определяет увеличение желудочков у пациентов с гидроцефалией, в том числе смешанной наружной гидроцефалией.

Что выявляет компьютерная томографияНезаменима компьютерная томография при выявлении инсультов разного характера. Так, КТ при ишемическом инсульте определяет патологию как область пониженной плотности, и зона ишемии выглядит на снимках как участок затемнения ткани мозга. В большинстве случаев КТ-картина ишемического инсульта проявляется спустя 12-24 часа с момента своего развития.

При геморрагическом инсульте на снимках выявляются области повышенной плотности в веществе мозга, свидетельствующие о наличии кровоизлияния. При этом КТ считается золотым стандартом в диагностике этой формы инсульта, а также позволяет безошибочно дифференцировать ишемический инсульт от геморрагического, что играет определяющую роль в принятии решения о назначении тромболитической терапии пациентам с ишемической формой инсульта.

Позвоночник

КТ применяется для оценки посттравматических изменений позвоночника, при этом детализируются участки вывихов, компрессии спинного мозга, переломов, наличие фрагментов костей в спинномозговом канале. КТ покажет остеохондроз, деформацию позвоночного канала, показывает грыжи межпозвоночных дисков (в этом случае КТ менее информативна, чем МРТ, и проводится с контрастированием), остеопороз, опухоли и метастатические поражения позвоночника и спинного мозга.

Внутренние органы

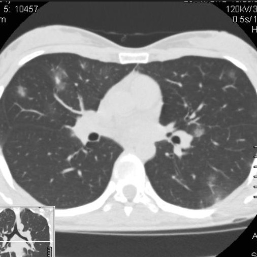
Виды КТ исследований внутренних органов включают в себя сканирование грудной клетки, брюшной полости и забрюшинного пространства, области малого таза. Исследование показывает последствия травм внутренних органов, выявляет объемные образования, очаги туберкулеза, пневмонии, механическую желтуху, лимфомы, лимфоденопатии, гемангиому печени и прочее.

Рассмотрим признаки туберкулеза на КТ. Метод позволяет оценить локализацию изменений, определить в какой доле или сегментах легкого находится патологический очаг, оценить характер распространения туберкулеза (локальные либо диффузные изменения), определить фазу процесса (распад, уплотнение, инфильтрация и пр.) и классифицировать заболевание.

Основными КТ признаками инфильтративного туберкулеза являются области уплотнения ткани легких по типу «матового» стекла, а также с повышением плотности и образованию в центре инфильтрата.

Милиарный туберкулез выгляди на КТ снимках как множественные образования в 1-2 мм по размеру, расположенные диффузно во всех сегментах легких, при этом важно проводить дифференцирование их с мелкоочаговыми метастазами.

Патологии на КТОчаговая форма туберкулеза характеризуется на КТ-изображениях малочисленными уплотнениями, которые располагаются в одной доле  легкого. Размер таких образований не превышает 1 см, а структура может быть однородной либо с областями повышенной плотности. Это говорит об отложении кальция за счет длительного течения процесса либо проводимой адекватной терапии.

Если говорить о картине пневмонии на КТ-снимках, то для каждого вида заболевания характерны свои изменения на изображениях. Бактериальная пневмония на КТ выглядит как поражение нижних долей легких с уплотнением. Воспалительный инфильтрат при поражении легких микоплазмой локализуется диффузно по всей площади органов, также проявляется синдром матового стекла. При вирусной форме пневмонии на снимках визуализируются диффузно расположенные ацинарные области, ослабление или полное отсутствие сосудистого рисунка на ткани легкого, а также верифицируются легочные консолидации и пр.

Суставы и кости

Данным способом можно обследовать костные структуры при переломах, трещинах, вывихах и других травматических изменениях. КТ выявляет остеомиелит, артриты, артрозы, дегенеративно-дистрофические процессы суставов, дефекты развития рук и ног, опухоли костей первичного и вторичного характера. КТ является наиболее информативным методом диагностики нарушений костных структур скелета, но малоэффективна для оценки состояния связок, менисков, хрящей и других мягких тканей.

Исследование сосудов

Диагностические преимущества КТ заключаются в возможности изучать анатомию сосудов под разными углами, одновременной визуализации просвета и стенок сосудов. КТ позволяет получать высокоинформативные снимки сосудов в проекциях, которые недоступны классической рентгеновской ангиографии.

КТ используется для диагностики сосудистой энцефалопатии, аневризм, стенозов и полной закупорки сосудов, тромбоза, выявления атеросклеротических бляшек, опухолей, которые сдавливают сосуд, прорастая из смежных тканей и пр.

Часто применяется КТ в диагностике гипертензии разного характера. Например, КТ-признаки легочной гипертензии включают в себя расширение легочного ствола, увеличение размеров правых сегментов сердца, расширение левой и правой легочных артерий. Метод имеет большое значение в дифференцировании легочной гипертензии при поражении паренхимы легких.

КТ-признаки портальной гипертензии включают в себя расширение селезеночной, воротной или верхней брыжеечной вен. На нативных снимках за варикозное расширение вен можно ошибочно принять неконтрастированные кишечные петли, увеличенные надпочечники и прочие объемные процессы. Поэтому исследование часто выполняется с контрастным усилением. Типичной КТ-находкой при такой диагностике является расширенная левая почечная вена.

КТ кровеносной системы практически всегда проводится с контрастом, это важно помнить пациентам с противопоказаниями к йодсодержащим препаратам. Так, не рекомендуется делать КТ с миеломной болезнью, тяжелыми формами сахарного диабета, почечной недостаточности, патологиями щитовидной железы.

Может ли КТ ошибиться с диагнозом

В большинстве случаев диагностическая точность КТ составляет более 90%. При этом важно понимать, что общая результативность исследования зависит от характеристик оборудования (современности, мощности и пр.), его настроек, квалификации врачей и лаборантов и подготовки пациента. Так, если не соблюдать подготовку к КТ брюшной полости, полученные снимки будут неинформативны, либо дефекты, возникающие из-за перистальтики кишечника, могут быть ошибочно интерпретированы как патология.

Начиная разговор с оператором вы принимаете и соглашаетесь с условиями   Политики конфиденциальности   Публичной оферты