КТ шеи

КТ органов и тканей шеи наряду с рентгенографией, эндоскопией, МРТ и УЗИ является эффективным методом диагностики нарушений этой области.  КТ шеи обладает наибольшей точностью в дифференцировании нео-и гиперпластических процессов гортани, является основным методом лучевой диагностики рака гортани и его распространенности. Методика имеет несколько недостатков по сравнению с альтернативными способами исследования  - малоинформативна при межмышечном патологическом нарушении, обладает высокой лучевой нагрузкой, а используемый при КТ контраст имеет ряд противопоказаний.

  КТ мягких тканей шеи – что показывает диагностика

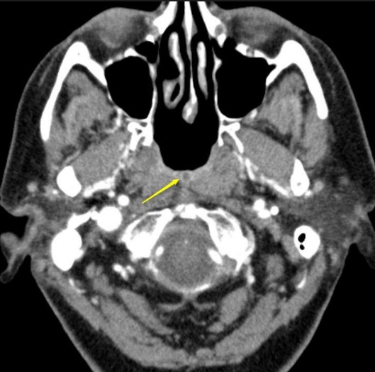
КТ мягких тканей шеиБлагодаря КТ можно оценить анатомию органов шеи, их структурные аномалии и особенности взаимного расположения. На снимках КТ шеи визуализируются трахея, глотка, гортань, щитовидная железа, клеточные пространства, паращитовидная железа, слюнные железы, сосуды, костные ткани, лимфоузлы и мышечные волокна.

КТ мягких тканей шеи позволяет оценить распространенность патологии в клетчаточных пространствах данной области, применяется для изучения состояния лимфоузлов, степени инвазии крупных сосудов шеи опухолью смежных тканей.

КТ шеи диагностирует такие нарушения:

  КТ гортани – что покажет исследование

Данный протокол сканирования используется для выявления воспалительных, опухолевых и посттравматических изменений. КТ является приоритетным способом лучевой диагностики рака горла и гортани, оценке размера злокачественного образования, стадии, вовлеченности в процесс других тканей. Исследование также показывает отек или стеноз гортани, аномалии ее развития, наличие инородных тел в горле или гортани, сдавление пищевода, причины нарушения актов глотания и пр.

КТ горла и мягких тканей шеи во многих случаях рекомендуется проводить с контрастным усилением из-за близких плотностных показателей тканей данной области и тесного расположения структур.

Компьютерная томография шеи с контрастированием обязательно применяется для поиска и дифференцирования объемных образований, а также сосудистых нарушений.

Отметим, что КТ шеи с контрастом имеет ряд противопоказаний, одними из которых являются почечная недостаточность, аллергия на йод, сердечная недостаточность, общее тяжелое состояние пациента.

  КТ ангиография сосудов шеи и головы

После получения направления на исследование пациенты часто задаются вопросом – КТ ангиография БЦА, что это значит? Брахиоцефальные артерии представляют собой сосуды, которые снабжают кровью головной мозг и берут свое начало из аорты. К этим сосудам относят общие, наружную, внутреннюю сонные артерии, левую подключичную и другие артерии. Основными методами исследования являются МРТ, МСКТ и ДУ сонной артерии.

КТ сосудов шеи проводится для определения аномалий развития сосудов, при подозрении на атеросклероз, аневризмы, мальформации, стеноз, воспалительные и травматические изменения сосудов.

Как проводится СКТ глотки, гортани, фото исследования

КТ шеиПо своим особенностям исследование не отличается от других видов КТ-скрининга. Диагностику проводят лежа на спине. Средняя длительность непосредственного сканирования занимает до 1 минуты. КТ гортани проводится без фонации (во время небольшого вдоха) и с фонацией (врач попросит пациента произнести звук «и»).  Благодаря вдоху на изображениях визуализируются голосовые складки в положении их максимального расхождения, что позволяет оценивать равномерность и степень их подвижности, ширину голосовой щели. Произношение звука «и» приводит связки в положение максимального их сближения, при этом оцениваются другие показатели. 

Начиная разговор с оператором вы принимаете и соглашаетесь с условиями   Политики конфиденциальности   Публичной оферты