МРТ грудного отдела позвоночника

Грудной отдел содержит 12 позвонков, к телам которых полуподвижно прикреплены ребра. Ребра и позвонки, соединенные впереди грудиной, образуют область грудной клетки.

Патологии этой области встречаются гораздо реже, чем в шейном и поясничном отделах. Однако и в этом случае важно своевременно диагностировать нарушения, чтобы назначить наиболее эффективную терапию.

  Когда делают МРТ грудного отдела позвоночника

МРТ грудного отдела позвоночникаИз-за ограничения подвижности грудных позвонков, травмы этого участка встречаются довольно редко. Однако грудной отдел подвержен дистрофическим процессам, которые вызываются излишними или недостаточными физическими нагрузками, недостаточным питанием хрящевых тканей и пр. При этом пациент чувствует болезненные ощущения в области грудной клетки, которые могут локализоваться не только в позвоночнике, но и сердце, желудке и прочих участках, что смазывает клиническую картину. Именно МРТ грудного отдела позволяет точно оценить причину симптомов и верно поставить диагноз.

Исследование проводится при наличии следующих жалоб пациента:

МРТ также назначается при неоднозначных либо сомнительных данных ранее выполненных исследований, например, рентгена, КТ.

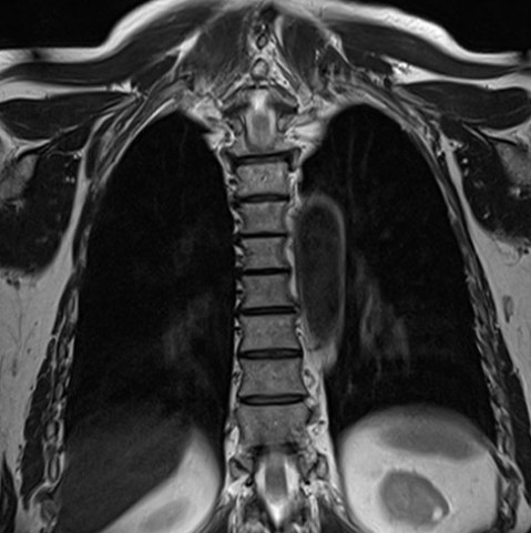
  Что показывает МРТ грудного отдела

В ходе сканирования получают серию снимков в аксиальной, саггитальной и фронтальной проекциях, что способствует точной визуализации структур позвоночника и выявлению локализации и распространенности патологического процесса.

Что показывает МРТ грудного отделаНа снимках отчетливо можно увидеть тела позвонков, нервные окончания, сосуды, спинномозговой канал, хрящи, связки, мышечные волокна.

Что может выявить МРТ грудного отдела? Благодаря исследованию можно диагностировать такие нарушения:

В случае подозрений на сосудистые нарушения и новообразования сделать МРТ грудного отдела лучше с контрастным усилением, которое позволяет точно определить этиологию процесса, его распространенность и вовлеченность в заболевание соседних участков позвоночника и внутренних органов.

Как делают МРТ грудного отдела

Ход процедуры не отличается от исследования других отделов позвоночника. Пациента укладывают на стол томографа, на область груди надевается радиочастотная катушка, пациент также может фиксироваться с помощью валиков и ремней для большей неподвижности. После этих манипуляций стол с пациентом передвигается в аппарат и начинается исследование. Сканирование не сопровождается неприятными ощущениями, но в случае их возникновения у пациента следует сообщить об этом лаборанту или врачу по системе связи томографа.

Сколько времени длится МРТ грудного отдела, зависит от режима исследования – требуется контрастное усиление или нет, а также будут ли изучаться соседние области позвоночника. Если контраст не нужен, стандартная длительность скрининга составляет 15-20 минут, контрастное усиление добавляет еще около 15 минут к общей продолжительности. Если проводят МРТ сразу нескольких отделов, время пропорционально удлиняется.

МРТ грудного отдела не требует никакой специальной подготовки, можно употреблять пищу, принимать лекарства. Однако пациенту следует подготовиться к МРТ с контрастом – не есть за 2 часа до сканирования.

После получения серии снимков врач приступает к их расшифровке. Он оценивает симметричность структур, однородность тканей, их плотность, наличие патологических образований и отростков, особенности поверхности тел позвонков, расширенность позвоночного канала и прочие параметры. Расшифровка снимков МРТ позвонка занимает от 30 минут до 1 суток в зависимости от загруженности врача и сложности конкретного случая.

Пройти МРТ грудного отдела позвоночника в Москве можно практически во всех МР-центрах, подробнее о стоимости услуги, возможности контрастирования, параметрах оборудования можно прочитать на страницах каталога клиник столицы, размещенном на нашем портале.

Начиная разговор с оператором вы принимаете и соглашаетесь с условиями   Политики конфиденциальности   Публичной оферты